폐결절에 대한 모든 것을 알아보겠습니다. 폐결절의 정의부터 종류, 원인, 증상, 진단 방법, 치료 방법, 예방법까지 상세히 설명합니다. 이 글을 통해 폐결절에 대한 궁금증을 해소하고, 폐 건강을 지키는 방법을 배워보세요.
아래 목차를 클릭하시면 해당 위치로 바로 이동합니다
목차

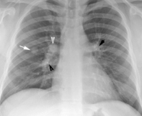
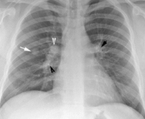
폐결절이란? 정의, 종류, 발견 방법


| 항목 | 내용 |
| 정의 | 폐 조직 내에 발생하는 작은 덩어리로, 크기는 보통 3cm 이하 |
| 종류 | 양성 폐결절(결핵, 감염, 염증 등) / 악성 폐결절(폐암의 초기 단계) |
| 발견 방법 | 흉부 X선 검사, 흉부 CT(컴퓨터 단층촬영), PET-CT(양전자 방출 단층촬영) |
폐결절은 폐 조직 내에 생기는 작은 덩어리로, 일반적으로 크기가 3cm 이하일 때를 말합니다. 크기가 더 크다면 종양으로 간주되며, 조기 발견이 중요합니다. 폐결절은 양성과 악성으로 나눌 수 있습니다. 양성 폐결절은 결핵, 감염, 염증 등으로 인해 발생하며, 대부분 악성으로 발전하지 않습니다. 반면 악성 폐결절은 폐암의 초기 단계일 수 있으며, 조기 발견과 치료가 중요합니다.
폐결절을 발견하는 방법으로는 여러 가지가 있습니다. 가장 기본적인 방법은 흉부 X선 검사입니다. 이 검사는 폐결절을 발견하는 데 유용하지만, 더 정밀한 검사가 필요할 때도 있습니다. 흉부 CT(컴퓨터 단층촬영)는 X선보다 더 정밀하게 결절의 크기와 위치를 확인할 수 있는 검사입니다. 또한 PET-CT(양전자 방출 단층촬영)는 결절의 대사 활동을 확인하여 악성 여부를 판단하는 데 도움을 줍니다.
폐결절의 조기 발견은 매우 중요합니다. 정기적인 검진을 통해 폐결절이 발견되면, 이를 신속히 평가하고 필요한 경우 추가 검사를 통해 양성인지 악성인지를 확인하는 것이 중요합니다. 조기 발견과 적절한 치료는 환자의 예후를 크게 개선할 수 있습니다.
" 더욱 자세한 폐결절 이야기 "
폐결절, 작지만 무서운 존재! 폐결절의 정의, 종류, 발견 방법 총정리
폐결절은 무엇일까요? 양성 결절과 악성 결절의 차이는? 폐결절을 어떻게 발견할 수 있을까요? 이번 글에서는 폐결절에 대해 궁금해하실 만한 모든 내용을 총정리해 보겠습니다. 아래 목차를
hanoelswould.com
폐결절 원인과 증상, 폐암과의 연관성은?
| 항목 | 내용 |
| 원인 | 감염(결핵, 곰팡이 감염 등), 염증(류마티스성 관절염, 사르코이드증 등), 종양, 흡연, 환경적 요인(석면 노출) |
| 증상 | 대부분 무증상, 기침, 흉통, 호흡 곤란 가능 |
| 폐암과의 연관성 | 악성일 경우 폐암 초기 단계일 가능성, 크기 1cm 이상, 모양 불규칙, 성장 속도 빠를 때 위험 |
폐결절의 원인은 다양합니다. 가장 흔한 원인 중 하나는 결핵이나 곰팡이 감염과 같은 감염입니다. 또한 류마티스성 관절염이나 사르코이드증과 같은 염증성 질환도 폐결절을 유발할 수 있습니다. 종양 역시 중요한 원인 중 하나인데, 양성 종양일 수도 있고 악성 종양일 수도 있습니다. 그 외에도 흡연과 석면 노출과 같은 환경적 요인이 폐결절 발생에 영향을 미칠 수 있습니다.
폐결절은 대부분 무증상으로 발견됩니다. 이는 정기 검진 중 우연히 발견되는 경우가 많기 때문입니다. 하지만 때로는 기침, 흉통, 호흡 곤란 등의 증상이 나타날 수 있습니다. 이러한 증상은 결절의 위치나 크기, 그리고 폐 기능에 미치는 영향에 따라 달라질 수 있습니다.
폐결절과 폐암의 연관성도 중요하게 다루어져야 합니다. 폐결절이 악성일 경우 폐암의 초기 단계일 가능성이 높습니다. 특히 결절의 크기가 1cm 이상이거나, 모양이 불규칙하고, 성장 속도가 빠른 경우 폐암일 가능성이 높습니다. 따라서 이러한 경우에는 더욱 신속한 진단과 치료가 필요합니다.
" 폐결절과 폐암의 자세한 연관성 "
폐결절 원인, 혹시 폐암? 폐결절 증상과 폐암과의 관계 완벽 분석
폐결절은 어떻게 발생하며, 그 증상은 무엇인가요? 그리고 폐결절이 폐암으로 발전할 가능성은 어느 정도일까요? 이 글에서는 폐결절의 주요 원인, 증상, 폐암과의 관계, 그리고 폐결절의 악성
hanoelswould.com
폐결절 진단과 치료 방법, 폐결절 수술은 언제?


| 항목 | 내용 |
| 진단 방법 | 영상 검사(흉부 X선, CT, PET-CT), 조직 검사, 혈액 검사 |
| 치료 방법 | 경과 관찰, 약물 치료(항생제, 항염증제), 수술 |
| 수술 시기 | 크기 1cm 이상, 모양 불규칙, 성장 속도 빠른 경우, 조직 검사 결과 악성인 경우 |
폐결절을 진단하는 방법에는 여러 가지가 있습니다. 영상 검사는 가장 기본적인 진단 도구로, 흉부 X선, CT, PET-CT 등이 사용됩니다. 이러한 검사를 통해 결절의 크기, 위치, 형태 등을 파악할 수 있습니다. 또한, 조직 검사를 통해 결절의 일부를 채취하여 현미경으로 분석함으로써 양성인지 악성인지를 확인할 수 있습니다. 혈액 검사는 종양 표지자를 검사하여 추가 정보를 제공합니다.
폐결절의 치료 방법은 다양합니다. 양성 결절로 판단되면 정기적인 CT 검사를 통해 결절의 크기와 모양 변화를 관찰할 수 있습니다. 감염이나 염증으로 인한 결절일 경우 항생제나 항염증제를 사용하여 치료할 수 있습니다. 악성 결절로 의심되거나 결절의 크기가 커지는 경우에는 수술적 제거가 필요할 수 있습니다.
수술이 필요한 경우는 여러 가지가 있습니다. 결절의 크기가 1cm 이상이거나, 모양이 불규칙하고, 성장 속도가 빠른 경우, 또는 조직 검사 결과 악성으로 판명된 경우 수술적 제거가 필요합니다. 수술을 통해 결절을 제거함으로써 추가적인 악화나 전이를 방지할 수 있습니다.
" 자세한 폐결정 치료 가이드 "
폐결절 치료 방법, 수술부터 식이요법까지! 폐결절 완치 가이드
폐결절은 폐에 생기는 작은 결절로, 초기에는 특별한 증상이 없을 수 있지만 악화되면 심각한 문제를 초래할 수 있습니다. 이번 글에서는 폐결절의 다양한 치료 방법부터 수술, 식이요법, 예방
hanoelswould.com
폐결절 예방법과 관리법, 폐 건강 지키는 생활 습관
| 항목 | 내용 |
| 예방법 | 금연, 정기 검진, 환경 관리(석면, 라돈 노출 최소화) |
| 관리법 | 건강한 식습관, 규칙적인 운동, 스트레스 관리 |
| 폐 건강 생활 습관 | 청결 유지(손 씻기, 마스크 착용), 실내 공기 질 관리(공기 청정기, 환기), 적절한 습도 유지 |
폐결절을 예방하기 위한 방법은 여러 가지가 있습니다. 가장 중요한 예방법 중 하나는 금연입니다. 흡연은 폐결절 및 폐암의 주요 원인 중 하나이므로 금연은 폐 건강을 지키는 데 필수적입니다. 또한, 정기적인 검진을 통해 폐결절을 조기에 발견하는 것이 중요합니다. 특히 고위험군(흡연자, 가족력 있는 경우)은 정기적인 흉부 X선 및 CT 검사가 필요합니다. 환경 관리도 중요한데, 석면이나 라돈 등 유해 물질에 대한 노출을 최소화해야 합니다.
폐결절을 관리하는 방법으로는 건강한 식습관이 중요합니다. 항산화제가 풍부한 과일과 채소를 섭취함으로써 폐 건강을 지킬 수 있습니다. 또한 규칙적인 운동을 통해 폐 기능을 강화하고, 스트레스를 관리하여 면역력을 높이는 것도 중요합니다. 스트레스는 면역력을 저하시켜 질병에 취약하게 만들 수 있으므로 적절한 스트레스 관리는 필수입니다.
폐 건강을 지키기 위한 생활 습관도 중요합니다. 청결을 유지하는 것이 감염 예방에 도움이 됩니다. 손 씻기, 마스크 착용 등을 통해 감염을 예방할 수 있습니다. 실내 공기 질을 관리하기 위해 공기 청정기를 사용하고 자주 환기하는 것도 좋습니다. 또한, 건조한 공기는 호흡기 질환을 유발할 수 있으므로 적절한 습도를 유지하는 것이 필요합니다.
댓글