폐결절은 무엇일까요? 양성 결절과 악성 결절의 차이는? 폐결절을 어떻게 발견할 수 있을까요? 이번 글에서는 폐결절에 대해 궁금해하실 만한 모든 내용을 총정리해 보겠습니다.
아래 목차를 클릭하시면 해당 위치로 바로 이동합니다
목차
" 폐결절의 모든 것을 알아보세요 "
폐결절, 폐암의 씨앗? 폐결절의 모든 것 완벽 정리 (원인, 증상, 치료, 예방)
폐결절에 대한 모든 것을 알아보겠습니다. 폐결절의 정의부터 종류, 원인, 증상, 진단 방법, 치료 방법, 예방법까지 상세히 설명합니다. 이 글을 통해 폐결절에 대한 궁금증을 해소하고, 폐 건강
hanoelswould.com

1. 폐결절이란? 폐결절의 정의


| 요약 | 폐 내부에 생긴 3cm 미만의 작은 구상 병변 |
| 특징 | 비정상적으로 커진 덩어리, 질병이 아닌 영상학적 소견 |
| 기준 | 크기 3cm 이하, 3cm 초과 시 종양 또는 혹 |
폐결절은 폐 내부에 생긴 지름 3cm 미만의 작은 구상 병변을 말합니다. 결절이란 비정상적으로 커진 덩어리를 의미하며, 폐결절은 폐에 생긴 결절입니다. 이는 질병명이 아니라 다른 원인 질환에 의해 관찰되는 영상학적 소견으로, 다양한 질병의 증거로 나타날 수 있습니다.
폐결절은 주로 3cm 이하의 결절(종괴, 덩어리)을 의미합니다. 만약 병변의 크기가 3cm를 초과하면 결절이 아닌 종양 또는 혹이라고 부릅니다. 이는 결절의 크기가 중요한 기준이 된다는 의미입니다.
폐결절은 단독으로 존재하지 않고 다양한 원인에 의해 발생할 수 있으며, 그 원인을 찾아내기 위해서는 추가적인 검사가 필요할 수 있습니다.
2. 폐결절의 종류: 양성 결절 vs 악성 결절
| 요약 | 감염증과 같은 양성 질환 vs 암과 같은 악성 질환 |
| 양성 | 폐렴, 결핵, 곰팡이 감염, 과오종 등 |
| 악성 | 폐암, 전이암 등 |
폐결절의 주요 원인에는 감염증과 같은 양성 질환과 암과 같은 악성 질환이 있습니다. 폐렴, 결핵, 곰팡이 감염, 과오종 등은 양성 결절의 원인이 되며, 폐암, 전이암 등은 악성 결절의 원인입니다.
전체 성인의 약 35%에서 발견된 폐결절이 악성 종양인 것으로 알려져 있습니다. 그러나 비흡연자이면서 35세 미만인 경우 폐결절이 악성일 확률은 매우 낮습니다. 이는 나이와 흡연 여부가 결절의 성격을 판단하는 중요한 요소임을 보여줍니다.
양성 결절과 악성 결절은 치료 방법과 예후가 크게 다르므로 정확한 진단이 필수적입니다. 이를 위해 다양한 검사와 추적 관찰이 필요합니다.
" 폐결절의 모든것을 알아보세요 "
폐결절, 폐암의 씨앗? 폐결절의 모든 것 완벽 정리 (원인, 증상, 치료, 예방)
폐결절에 대한 모든 것을 알아보겠습니다. 폐결절의 정의부터 종류, 원인, 증상, 진단 방법, 치료 방법, 예방법까지 상세히 설명합니다. 이 글을 통해 폐결절에 대한 궁금증을 해소하고, 폐 건강
hanoelswould.com
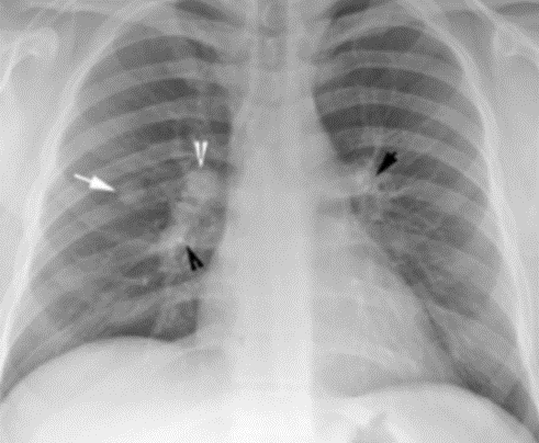
3. 폐결절 발견 방법: 흉부 X-ray, CT 검사


| 요약 | 대개 무증상, 흉부 방사선 촬영과 CT 검사로 발견 |
| 방법 | 흉부 X선 촬영, 흉부 CT 촬영 |
| 특징 | 과거 검사 결과와 비교하여 크기 변화 확인 |
폐결절은 대개 무증상이며, 대부분 흉부 방사선 촬영을 통해 발견됩니다. 최근에는 국가암검진 저선량 CT 검사에서도 폐결절이 발견되기도 합니다. 이는 조기 발견의 중요성을 강조하는 대목입니다.
폐결절의 진단은 주로 흉부 X선 촬영과 흉부 CT 촬영을 통해 이루어집니다. 흉부 X선 검사에서는 과거 검사 결과와 비교하여 결절의 크기 변화를 확인합니다. 이를 통해 결절의 성장 속도와 성격을 파악할 수 있습니다.
정확한 진단을 위해서는 여러 번의 검사가 필요할 수 있으며, 특히 결절의 크기와 모양이 변화하는지를 주의 깊게 관찰해야 합니다.
4. 폐결절 크기와 모양: 폐결절의 크기와 모양이 의미하는 것
| 요약 | 크기 변화 없거나 석회화 시 악성 가능성 낮음 |
| 양성 | 석회화나 지방 포함 시 가능성 높음 |
| 악성 | 불규칙한 모양, 경계 불명확 시 가능성 높음 |
| 판단 | 크기, 모양, 나이, 흡연력 종합 고려 |
폐결절의 크기와 모양은 그 성격을 판단하는 중요한 요소입니다. 수년간 크기 변화가 없거나 석회화가 있으면 악성 가능성이 낮은 것으로 추정할 수 있습니다. 반면, 점점 커지는 병변이라면 악성 종양 가능성을 배제할 수 없어 조직검사 등 추가 검사가 필요합니다.
특징적인 결절 내 석회화나 지방이 포함된 경우 양성 결절일 가능성이 높습니다. 반면, 불규칙한 모양이거나 경계가 명확하지 않은 경우 악성 가능성이 높아집니다. 이러한 특징들은 결절의 성격을 판단하는 중요한 지표가 됩니다.
결절의 크기, 모양, 환자의 나이, 흡연력 등을 종합적으로 고려하여 악성 여부를 판단해야 합니다. 이를 통해 적절한 치료 계획을 세우고, 필요한 경우 조기에 치료를 시작할 수 있습니다.
댓글