폐결절은 폐에 생기는 작은 결절로, 초기에는 특별한 증상이 없을 수 있지만 악화되면 심각한 문제를 초래할 수 있습니다. 이번 글에서는 폐결절의 다양한 치료 방법부터 수술, 식이요법, 예방법까지 상세히 알아보겠습니다.
아래 목차를 클릭하시면 해당 위치로 바로 이동합니다
목차
" 폐결절의 모든 것을 알아보세요 "
폐결절, 폐암의 씨앗? 폐결절의 모든 것 완벽 정리 (원인, 증상, 치료, 예방)
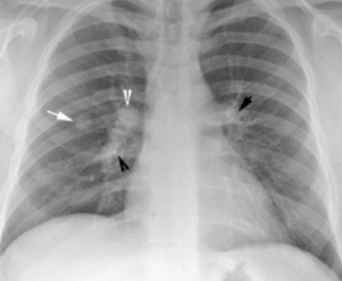
폐결절에 대한 모든 것을 알아보겠습니다. 폐결절의 정의부터 종류, 원인, 증상, 진단 방법, 치료 방법, 예방법까지 상세히 설명합니다. 이 글을 통해 폐결절에 대한 궁금증을 해소하고, 폐 건강
hanoelswould.com

폐결절 치료 방법


| 치료 방법 | 설명 |
| 경과 관찰 | 폐결절이 작고 악성 가능성이 낮은 경우, 정기적인 CT 스캔을 통해 변화를 관찰합니다. |
| 약물 치료 | 결핵성 폐결절의 경우 항결핵제를 사용하며, 비결핵성 폐결절은 항생제나 항진균제를 사용합니다. |
| 수술 | 폐결절이 악성으로 의심되거나 크기가 커질 경우, 수술적 제거가 필요합니다. |
폐결절 치료 방법에는 여러 가지가 있습니다. 첫 번째는 경과 관찰입니다. 폐결절이 작고 악성 가능성이 낮다고 판단되면, 정기적인 CT 스캔을 통해 크기와 모양의 변화를 확인합니다. 일반적으로 3개월, 6개월, 1년 간격으로 검사를 진행합니다. 이는 폐결절이 악성으로 변하지 않는지 모니터링하는 중요한 과정입니다.
두 번째 방법은 약물 치료입니다. 결핵성 폐결절의 경우, 이소니아지드, 리팜핀, 피라진아마이드 등의 항결핵제를 사용합니다. 치료 기간은 보통 6개월에서 9개월이 소요됩니다. 비결핵성 폐결절의 경우에는 항생제나 항진균제를 사용하여 치료합니다. 약물 치료는 결절의 원인에 따라 적절한 약물을 사용하여 결절을 줄이는 데 효과적입니다.
마지막으로 수술적 치료가 있습니다. 폐결절이 악성으로 의심되거나 크기가 급격히 커지는 경우, 수술적 제거가 필요할 수 있습니다. 수술 방법으로는 폐엽절제술, 폐분절절제술, 폐쐐기절제술 등이 있습니다. 이러한 수술들은 결절의 위치와 크기에 따라 선택되며, 주로 악성 결절을 제거하는 데 사용됩니다.
폐결절 수술
| 수술 시기 | 설명 |
| 수술 시기 | 결절이 1cm 이상이거나, PET-CT에서 고위험으로 판정된 경우, 조직검사에서 악성으로 확인된 경우 수술을 고려합니다. |
| 수술 방법 | 폐엽절제술, 폐분절절제술, 폐쐐기절제술 등 결절의 위치와 크기에 따라 다양한 수술 방법이 사용됩니다. |
폐결절 수술은 결절의 크기와 성질에 따라 필요성이 결정됩니다. 일반적으로 결절이 1cm 이상이거나 PET-CT 검사에서 고위험으로 판정된 경우, 또는 조직검사에서 악성으로 확인된 경우 수술을 고려합니다. 결절이 급격히 커지거나 환자가 호흡곤란 등의 증상을 보이는 경우에도 수술이 필요합니다. 수술 시기는 환자의 상태와 결절의 특성에 따라 결정되며, 조기 발견과 치료가 중요합니다.
수술 방법으로는 폐엽절제술, 폐분절절제술, 폐쐐기절제술 등이 있습니다. 폐엽절제술은 결절이 있는 폐엽 전체를 제거하는 방법으로, 주로 악성 결절에 사용됩니다. 폐분절절제술은 결절이 있는 폐의 일부 분절만 제거하는 방법으로, 결절이 국소화된 경우에 사용됩니다. 폐쐐기절제술은 결절 주위의 작은 부분만 제거하는 방법으로, 작은 결절에 적합합니다. 이러한 수술들은 각각의 상황에 맞게 선택되어 폐결절을 효과적으로 제거합니다.
" 폐결절의 모든것을 알아보세요 "
폐결절, 폐암의 씨앗? 폐결절의 모든 것 완벽 정리 (원인, 증상, 치료, 예방)
폐결절에 대한 모든 것을 알아보겠습니다. 폐결절의 정의부터 종류, 원인, 증상, 진단 방법, 치료 방법, 예방법까지 상세히 설명합니다. 이 글을 통해 폐결절에 대한 궁금증을 해소하고, 폐 건강
hanoelswould.com
폐결절에 좋은 음식


| 음식 종류 | 설명 |
| 항산화제가 풍부한 음식 | 베리류, 시금치, 브로콜리 등 항산화제가 풍부한 음식은 폐 건강에 도움이 됩니다. |
| 오메가-3 지방산 | 연어, 고등어, 참치 등 오메가-3 지방산이 풍부한 생선은 염증을 줄이고 폐 기능을 향상시킵니다. |
| 섬유질이 많은 음식 | 통곡물, 콩류, 채소 등 섬유질이 많은 음식은 소화를 돕고 전반적인 건강을 개선합니다. |
폐결절을 예방하고 치료하는 데 있어 식이요법은 매우 중요합니다. 항산화제가 풍부한 음식은 폐 건강에 큰 도움을 줍니다. 베리류, 시금치, 브로콜리 등은 항산화제가 많아 폐 세포를 보호하고 면역력을 강화하는 데 유용합니다. 특히 비타민 C가 풍부한 과일과 채소는 면역력을 높여 폐 기능을 개선하는 데 효과적입니다.
오메가-3 지방산이 풍부한 생선도 폐 건강에 좋습니다. 연어, 고등어, 참치 등은 염증을 줄이고 폐 기능을 향상합니다. 오메가-3 지방산은 항염 효과가 뛰어나기 때문에 폐결절의 진행을 억제하고 전반적인 폐 건강을 유지하는 데 도움이 됩니다.
섬유질이 많은 음식은 소화를 돕고 전반적인 건강을 개선하는 데 중요합니다. 통곡물, 콩류, 채소 등은 소화기 건강을 개선하고 체내 독소를 제거하는 데 도움이 됩니다. 섬유질이 많은 음식은 장 건강을 증진시켜 면역력을 높이고 폐 건강을 지키는 데 중요한 역할을 합니다.
폐결절 예방법
| 예방 방법 | 설명 |
| 금연 | 흡연은 폐결절의 주요 원인 중 하나로, 금연은 폐결절 및 다양한 폐 질환을 예방합니다. |
| 정기 검진 | 고위험군은 정기적인 흉부 X선 검사나 저선량 CT 검사를 통해 조기 발견이 중요합니다. |
| 건강한 생활습관 | 균형 잡힌 식단, 규칙적인 운동, 충분한 수면 등은 면역력을 강화하고 폐 건강을 유지합니다. |
폐결절을 예방하기 위해서는 몇 가지 중요한 습관을 유지해야 합니다. 첫 번째로 금연입니다. 흡연은 폐결절의 주요 원인 중 하나로, 금연은 폐결절뿐만 아니라 다양한 폐 질환을 예방하는 데 중요합니다. 흡연을 중단하면 폐가 회복되기 시작하고, 폐결절 발생 위험이 크게 줄어듭니다.
두 번째로 정기 검진입니다. 특히 흡연자나 가족력이 있는 사람 등 고위험군은 정기적인 흉부 X선 검사나 저선량 CT 검사를 통해 조기에 폐결절을 발견하는 것이 중요합니다. 정기 검진을 통해 폐결절을 조기에 발견하면 치료 효과가 높아지고, 심각한 합병증을 예방할 수 있습니다.
마지막으로 건강한 생활습관을 유지하는 것이 중요합니다. 균형 잡힌 식단, 규칙적인 운동, 충분한 수면 등은 면역력을 강화하고 폐 건강을 유지하는 데 도움이 됩니다. 건강한 생활습관은 전반적인 신체 건강을 개선하고, 폐결절을 비롯한 다양한 질병을 예방하는 데 중요한 역할을 합니다.
댓글