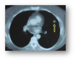
요즘 폐결절 때문에 걱정이 많으시죠? 폐결절의 크기에 따라 치료법과 수술 여부가 달라진다는 사실 알고 계셨나요? 여기서 폐결절의 크기별 특징과 CT 검사의 중요성까지 자세히 알려드릴게요!
아래 목차를 클릭하시면
해당 위치로 바로 이동합니다
목차

폐결절 크기별 특징
| 크기 | 악성 가능성 | 관리 지침 | 
| 5mm 미만 | 0.5% 미만 | 추적 관찰 불필요 | 
| 5-6mm | 0.5-2% | 6-12개월 후 CT 추적 | 
| 6-8mm | 2-10% | 3-6개월 후 CT 추적 | 
| 8mm 초과 | 10-50% 이상 | PET/CT 또는 조직검사 권고 | 
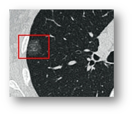
폐결절은 크기에 따라 악성 가능성이 크게 달라진답니다. 5mm 미만의 결절은 대부분 양성이어서 특별한 추적 관찰이 필요 없어요. 하지만 5mm를 넘기면 악성 가능성이 조금씩 높아지기 때문에 주의해야 해요.
8mm를 초과하는 결절은 악성 가능성이 급격히 높아져요. 이때는 PET/CT 검사나 조직검사를 통해 정확한 진단이 필요하답니다. 크기가 클수록 악성일 확률이 높으니, 정기적인 검진이 중요해요.


폐결절 5mm, 6mm, 8mm 차이
| 크기 | 악성 가능성 | 추적 관찰 주기 | 
| 5mm | 약 1% | 12개월 후 CT | 
| 6mm | 약 2% | 6-12개월 후 CT | 
| 8mm | 10% 이상 | 3-6개월 후 CT 또는 추가 검사 | 
5mm와 6mm의 차이는 작아 보여도, 악성 가능성에서는 차이가 있어요. 5mm 결절은 12개월 후에 한 번만 CT로 확인하면 되지만, 6mm 결절은 6-12개월 간격으로 더 자주 관찰해야 한답니다. 8mm 결절부터는 상황이 달라져요.
악성 가능성이 10% 이상으로 올라가기 때문에 더 적극적인 검사가 필요해요. PET/CT나 조직검사를 통해 결절의 성격을 정확히 파악해야 해요.
폐결절 CT 검사 방법
| 검사 종류 | 특징 | 목적 | 
| 저선량 흉부 CT | 방사선 노출 적음 | 초기 발견 및 추적 관찰 | 
| 일반 흉부 CT | 해상도 높음 | 상세한 결절 평가 | 
| 조영제 CT | 조영제 사용 | 혈류나 조직 특성 파악 | 
폐결절을 정확히 진단하기 위해서는 CT 검사가 필수적이에요. 저선량 흉부 CT는 방사선 노출을 최소화하면서도 결절을 발견할 수 있어요. 특히 정기 검진이나 추적 관찰에 많이 사용된답니다.
필요에 따라 조영제를 사용하는 CT 검사도 있어요. 조영제를 사용하면 결절의 혈류나 조직 특성을 더 자세히 알 수 있어요. 하지만 조영제 알레르기가 있는 분들은 주의해야 해요.


폐결절 수술 필요성
| 상황 | 수술 필요성 | 설명 | 
| 8mm 초과 고형결절 | 높음 | 악성 가능성 높아 수술 고려 | 
| 부분 고형결절 | 중간 | 고형 성분 6mm 초과 시 수술 | 
| 간유리음영결절 | 낮음 | 크기 증가 시 수술 고려 | 
폐결절이 크거나 악성 가능성이 높을 때는 수술을 고려해야 해요. 특히 8mm를 초과하는 고형결절은 악성일 확률이 높아 수술로 제거하는 것이 좋아요. 부분 고형결절의 경우 고형 성분이 6mm를 넘으면 수술을 생각해야 해요.
간유리음영결절은 보통 악성 가능성이 낮지만, 크기가 증가하거나 변화가 있으면 수술을 고려한답니다.
폐결절 추적 관찰법
| 위험군 | 결절 크기 | 추적 관찰 지침 | 
| 저위험군 | 6mm 미만 | 추적 불필요 | 
| 저위험군 | 6-8mm | 6-12개월 후 CT | 
| 고위험군 | 6-8mm | 3-6개월 후 CT | 
| 모든 환자 | 8mm 초과 | 3개월 내 추가 검사 | 
폐결절의 추적 관찰은 개인의 위험 요인과 결절 크기에 따라 달라져요. 흡연 경력이 없고 가족력이 없는 저위험군은 작은 결절은 굳이 추적하지 않아도 돼요. 하지만 고위험군이거나 결절 크기가 크다면 더 자주, 더 꼼꼼하게 관찰해야 해요.
2년간 크기 변화가 없다면 추적 관찰을 종료할 수 있답니다. 하지만 그전에 변화가 있다면 추가 검사가 필요해요.
폐결절의 크기에 따른 특징과 치료법, 그리고 CT 검사의 중요성에 대해 알아보았어요. 조기 발견과 정기적인 관찰이 무엇보다 중요하니, 건강 검진을 잊지 마세요!
댓글