
편도결석은 많은 사람들이 경험하는 구강 건강 문제 중 하나입니다. 이 작은 결석들은 편도선에 형성되며, 치석, 세균, 그리고 편도의 구조적 특성에 의해 발생합니다. 편도결석이 생기는 이유를 이해하고, 그들을 효과적으로 제거하고 예방하는 방법을 알아봅시다.

편도결석의 원인
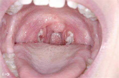
편도결석이란?
편도결석은 편도선의 작은 결석으로, 주로 치석과 세균의 축적으로 형성됩니다. 이러한 결석은 공간을 차지하고 염증을 일으킬 수 있으며, 이로 인해 구강냄새와 통증 등의 증상이 나타날 수 있습니다.
원인: 치석, 세균, 인후편도 구조
편도결석의 주요 원인은 치석과 세균의 축적입니다. 치석은 구강 위생의 부족으로 인해 형성되며, 세균은 구강 내에서 번식하여 결석 형성에 기여합니다. 또한, 인후편도의 구조적 특성도 편도결석 발생에 영향을 줍니다.
편도결석이 생기는 이유
잘못된 음식 섭취
잘못된 음식 섭취로 인해 편도선에 잔여물이 쌓이고 결석이 형성될 수 있습니다. 고열식이나 지나치게 양념이 많은 음식, 그리고 과도한 아이스크림과 같은 음식은 편도결석의 원인이 될 수 있습니다. 이러한 음식을 줄이고 구강 위생에 신경을 쓰는 것이 중요합니다.
구강 위생의 부족
구강 위생의 부족은 편도결석의 발생을 촉진할 수 있습니다. 제대로 된 칫솔질과 치실 사용을 통해 음식물 잔여물을 철저하게 제거하고, 구강 내 세균의 번식을 억제할 수 있습니다. 정기적인 구강 위생 관리와 치과에서의 청결 검진은 편도결석 예방에 도움이 됩니다.
감염 및 염증
편도결석은 감염과 염증으로 인해 악화될 수 있습니다. 편도결석의 존재는 세균이 번식하고 염증을 유발할 수 있는 공간을 제공합니다. 만약 편도결석으로 인해 통증이나 발열 등의 증상이 나타난다면 즉시 의료진을 방문하여 적절한 치료를 받아야 합니다.

편도결석의 제거법
면봉 사용법
면봉은 편도결석 제거에 효과적인 도구입니다. 면봉을 조심스럽게 사용하여 편도결석을 가볍게 눌러 결석을 제거할 수 있습니다. 하지만 너무 강하게 압력을 가하거나 부주의하게 사용하면 편도를 손상시킬 수 있으므로 주의해야 합니다.
구강 세척기 사용법
구강 세척기는 높은 압력의 물 스트림을 이용하여 편도결석을 제거하는 데 도움을 줍니다. 이 기기를 사용하여 편도선 주변을 세척하면 결석을 효과적으로 제거할 수 있습니다. 구강 세척기 사용 시 안전한 압력과 적절한 방향을 유지하는 것이 중요합니다.
가글로 결석 제거법
가글은 영어로 '가글링'이라고도 하는 구강 청결법입니다. 입에 물을 넣고 원 모양으로 물을 흘리는 동작으로 편도결석을 제거할 수 있습니다. 가글은 결석을 녹여주고 편도 내의 잔여물을 효과적으로 제거하는 역할을 합니다. 따뜻한 소금물을 이용하여 가글을 하면 더욱 효과적인 결과를 얻을 수 있습니다.
편도결석의 예방법
음식 섭취 후 가글하기
음식을 섭취한 후에는 입안에 잔여물이 남을 수 있습니다. 이때 가글을 하여 입안을 청결하게 유지하는 것이 중요합니다. 가글을 통해 음식 잔여물을 제거하고 세균 번식을 방지할 수 있습니다.
따뜻한 소금물로 가글하기
따뜻한 소금물은 편도결석 예방에 효과적입니다. 소금물은 항균 효과가 있어 세균의 번식을 억제하고 염증을 완화시키는 역할을 합니다. 따뜻한 소금물을 이용하여 가글을 하면 편도 결석의 발생을 줄일 수 있습니다.
편도결석은 편도선에서 발생하는 작은 결석으로, 치석과 세균의 축적, 그리고 편도의 구조적 특성에 의해 형성됩니다. 잘못된 음식 섭취, 구강 위생의 부족, 감염 및 염증이 편도결석의 주요 원인입니다. 이를 제거하기 위해서는 면봉이나 구강 세척기를 사용하거나 가글로 결석을 제거할 수 있습니다. 또한, 음식 섭취 후 가글하거나 따뜻한 소금물로 가글 하는 등의 예방법을 실천하는 것이 중요합니다. 구강 건강을 유지하고 편도결석의 발생을 예방하기 위해 일상적인 관리와 주기적인 치과 검진을 통해 적절한 관리를 해야 합니다.
'세상을 읽다 - 지식' 카테고리의 다른 글
| 한련화 알아보기 키우기 꽃말과 번식 물주기 (0) | 2023.05.05 |
|---|---|
| 디기탈리스 알아보기 꽃말 파종 시기 그리고 효능 (0) | 2023.05.05 |
| 파킨슨 병 증후군 초기 증상과 치료법 (0) | 2023.05.05 |
| 무스카리 알아보기 키우기 꽃말 씨앗파종 물주기 등 (0) | 2023.05.04 |
| 자산홍 특징과 다른 꽃과의 차이점 (0) | 2023.05.04 |
댓글