온다리프팅, 정말 효과가 있을까요? 시술 과정, 통증, 가격, 유지기간까지 모든 궁금증을 풀어드릴게요. 이 글을 읽으면 온다리프팅에 대해 더 이상 고민할 필요가 없을 거예요!
아래 목차를 클릭하시면
해당 위치로 바로 이동합니다
목차
영상으로 보는 온다리프팅 - 출처 렛미인닥터스 ▼
온다리프팅 시술 과정 및 통증

| 시술 단계 | 내용 |
| 1단계: 디자인 상담 | 1:1 맞춤 상담을 통해 환자의 피부 상태와 원하는 결과를 분석하고 계획 수립 |
| 2단계: 오일 도포 | 피부에 보호 오일을 발라 핸드피스가 부드럽게 작동하도록 준비 |
| 3단계: 레이저 시술 | 극초단파(Microwave)를 사용해 진피층과 피하지방층을 자극, 시술 시간 약 10-20분 소요 |
| 4단계: 마스크팩 적용 | 시술 후 피부 진정과 보습을 위해 진정 마스크팩 적용 |
온다리프팅은 극초단파를 사용하여 피부를 자극하고 개선하는 시술입니다. 시술은 1:1 상담을 통해 환자의 피부 상태와 원하는 결과에 맞춘 계획을 세우는 것으로 시작됩니다. 개인의 피부 상태를 철저히 분석하여 맞춤형 시술을 진행합니다.
오일 도포 과정은 핸드피스가 부드럽게 작동하도록 준비하는 단계입니다. 레이저 시술은 10-20분 정도 소요되며, 3mm와 7mm 핸드피스를 사용하여 진피층과 피하지방층을 자극합니다. 이 과정에서 피부 탄력과 지방 분해 효과를 동시에 얻을 수 있습니다.
시술 후에는 진정 마스크팩을 적용해 피부를 안정시키고 보습을 제공합니다. 통증은 거의 없으며, 극초단파와 쿨링 시스템 덕분에 마취 없이도 편안한 느낌을 받을 수 있습니다.
온다리프팅 효과 전후 비교
| 효과 | 설명 |
| 리프팅 및 타이트닝 | 피부 탄력 증가, 처진 부위 개선 |
| 콜라겐 생성 촉진 | 시간이 지남에 따라 피부 탄력이 더욱 개선 |
| 지방 분해 및 윤곽 개선 | 이중턱, 볼살, 팔자주름 등 감소 |
| 바디 라인 개선 | 팔뚝, 복부, 허벅지 등 바디 부위 셀룰라이트 제거와 탄력 개선 |
| 즉각적 및 장기 효과 | 시술 직후부터 효과 확인 가능, 1-3개월 후 최대 효과 발현 |
영상으로 보는 온다리프팅 - 출처 렛미인닥터스 ▼
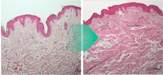
온다리프팅은 리프팅과 타이트닝 효과를 동시에 제공합니다. 시술 직후부터 피부 탄력이 개선되는 것을 확인할 수 있으며, 1-3개월 후에는 더욱 뚜렷한 결과를 볼 수 있습니다. 콜라겐 생성이 촉진되어 시간이 지날수록 피부 상태가 좋아지는 특징이 있습니다.
지방 분해 효과도 뛰어나 이중턱과 볼살 같은 부위의 윤곽을 정리해줍니다. 바디 부위에서도 셀룰라이트 제거와 탄력 개선 효과를 볼 수 있습니다. 팔뚝, 복부, 허벅지 같은 부위의 사이즈 감소를 원하는 분들에게 적합한 시술입니다.
온다리프팅의 효과는 즉각적이면서도 장기적으로 유지되는 것이 특징입니다. 특히 얼굴 윤곽 개선과 주름 감소 효과가 많아 만족도가 높습니다.
온다리프팅 가격 안내

| 시술 부위 | 시술 단위 | 가격 |
| 얼굴 | 3만줄 | 35만 원 |
| 얼굴 | 6만줄 | 50-59만 원 |
| 얼굴 | 15만줄 | 88만 원 |
| 바디 (100KJ) | 1회 | 69만 원 |
| 바디 (100KJ) | 3회 | 169만 원 |
온다리프팅의 가격은 시술 부위와 에너지 양에 따라 다양합니다. 얼굴 기준으로 3만줄 시술은 35만 원, 6만줄은 50-59만 원 사이입니다. 바디 부위의 경우, 100KJ 1회 시술은 69만 원이며, 3회 패키지는 169만 원에 제공됩니다.
추가 비용은 병원마다 다를 수 있으며, 패키지와 할인 이벤트를 활용하면 더 저렴하게 받을 수 있습니다. 비용 대비 효과를 고려하여 병원을 선택하는 것이 중요합니다.
온다리프팅 유지기간과 관리법
| 유지기간 | 관리법 |
| 1년 (평균) | 충분한 수분 섭취, 자외선 차단제 사용, 흡연 금지 |
| 1-2년 (관리 시) | 보습 유지, 과도한 운동 및 음주 피하기, 3-4개월 간격 유지 시술 |
영상으로 보는 온다리프팅 - 출처 렛미인닥터스 ▼
온다리프팅은 평균적으로 1년 정도 효과가 유지됩니다. 개인의 피부 상태와 관리 방법에 따라 1-2년까지 유지되기도 합니다. 효과를 오래 유지하려면, 충분한 수분 섭취와 자외선 차단제를 사용하는 것이 중요합니다.
흡연은 필러 효과를 감소시키므로 금연을 권장합니다. 또한, 시술 후 과도한 운동이나 음주, 사우나 같은 활동은 피해야 합니다. 3-4개월 간격으로 유지 시술을 받으면, 효과를 더욱 오래 지속할 수 있습니다.
온다리프팅 부작용 사례

| 일반 부작용 | 드문 부작용 |
| 열감, 홍반, 따끔거림 | 볼 패임, 얼굴 라인 변화 |
| 일시적 붓기 | 피부 민감성 악화 |
온다리프팅은 비교적 안전한 시술이지만, 일부 부작용이 발생할 수 있습니다. 시술 후 열감이나 붓기가 나타날 수 있으며, 이는 보통 1-3일 내에 자연스럽게 사라집니다. 드물게 볼 패임이나 얼굴 라인 변화가 발생할 수 있으므로, 경험이 많은 의료진에게 시술을 받는 것이 중요합니다.
피부가 예민하거나 얼굴에 지방이 적은 경우, 시술 전 충분한 상담을 통해 적합 여부를 확인해야 합니다. 시술 후 문제가 발생하면 즉시 병원을 방문하여 적절한 조치를 받아야 합니다. 맞춤형 시술이 안전성과 효과를 높이는 핵심입니다.


댓글