골반수술은 안전할까요? 위험성부터 부작용까지 모든 것을 철저히 분석했습니다. 골반수술을 고려 중이라면 꼭 읽어보세요!
아래 목차를 클릭하시면
해당 위치로 바로 이동합니다
목차

골반수술 위험성


| 항목 | 세부 내용 |
| 수술 후 합병증 발생률 | 최대 75% |
| 주요 합병증 | 섬망(20%), 폐렴(10%), 울혈성 심부전(5%) |
| 수술과 직접 연관된 합병증 발생률 | 13% |
| 수술 1년 후 환자 사망률 | 27% |
골반수술은 복잡한 해부학적 구조 때문에 높은 위험성을 가지고 있습니다. 특히, 합병증 발생률이 최대 75%로 보고되며, 섬망과 폐렴 같은 문제는 고령 환자에게서 더 흔하게 발생합니다.
수술 과정에서 발생하는 합병증도 무시할 수 없습니다. 혈관 손상이나 요관 손상과 같은 문제는 수술의 정확도와 직접적으로 관련됩니다. 정확한 진단과 숙련된 의료진의 참여가 무엇보다 중요합니다.
장기적인 생존율에도 주의가 필요합니다. 수술 후 1년 이내 사망률이 27%에 달하며, 이는 수술 후 관리의 중요성을 시사합니다. 특히, 수술 지연이 치명적인 결과를 초래할 수 있습니다.
골반수술 종류
| 수술명 | 목적 및 특징 |
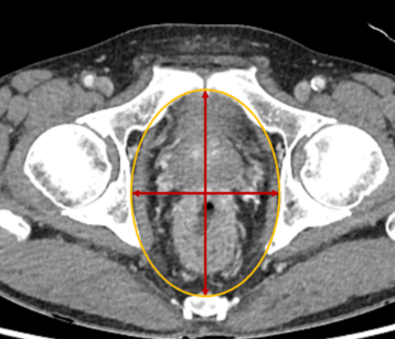
| 골반내용물적출술 | 암 치료를 위해 골반 내 장기 제거 |
| 전자궁적출술 | 자궁암, 자궁근종 치료를 위해 자궁 전체 제거 |
| 부분자궁적출술 | 자궁의 일부만 제거하며 전자궁적출술보다 덜 침습적 |
| 난소난관 수술 | 난소낭종, 자궁외임신 등 문제 해결 |
| 천골질고정술 | 골반장기탈출증 치료, 질과 천골을 고정하여 탈출 방지 |
| 인공고관절 수술 | 고관절염, 골절 치료를 위해 손상된 관절을 인공관절로 대체 |
| 비구 성형술 | 고관절 이형성증 치료를 위해 골반 성형 |
골반수술은 다양한 질환과 상태를 해결하기 위해 시행됩니다. 자궁암, 난소낭종, 골반장기탈출증 등의 질환에 따라 적합한 수술 방법이 선택됩니다.
특히, 천골질고정술과 같은 수술은 여성 골반장기탈출증 치료에서 중요한 역할을 합니다. 이 수술은 질과 천골을 연결하여 장기의 탈출을 막는 데 효과적입니다.
고관절 수술은 주로 노화나 사고로 인해 손상된 관절을 복원하기 위해 시행됩니다. 환자의 상태에 따라 맞춤형 접근이 필요합니다.
종류에 따른 회복기간


| 수술 종류 | 평균 회복기간 |
| 천골질고정술 로봇수술 | 평균 입원기간 2일 |
| 개복수술 | 회복 느림, 평균 재원일수 1-2주 이상 |
| 복강경 수술 | 회복 빠름, 그러나 수술시간이 길어 일부 지연 가능 |
| 인공고관절 수술 | 초기 회복 1-2주, 완전 회복까지 6개월 소요 |
수술 방식에 따라 회복 기간은 크게 달라집니다. 로봇수술이나 복강경 수술은 개복수술에 비해 회복이 빠르며, 입원 기간도 짧습니다.
개복수술의 경우 신체적 부담이 크기 때문에 회복 속도가 느립니다. 평균적으로 4-6주의 재활이 필요하며, 적극적인 재활 치료가 필수입니다.
인공고관절 수술은 성공적인 재활을 통해 이전 관절 기능의 80-90%까지 회복이 가능합니다. 환자의 적극적인 재활 참여가 성공의 열쇠입니다.
부작용 종류
| 부작용 | 특징 |
| 하지 림프부종 | 다리 부종, 림프액 순환 장애로 발생 |
| 림프낭종 | 림프액이 고여 낭종 형성 |
| 배뇨 장애 | 소변 조절 어려움 |
| 배변 장애 | 대변 조절 어려움 |
| 질 위축 | 질 조직이 얇아지고 건조해짐 |
| 질 경화 | 질 조직이 딱딱해짐 |
부작용은 주로 수술 후 나타나며, 일상생활에 영향을 줄 수 있습니다. 림프부종과 림프낭종은 수술 부위의 림프 순환 장애로 인해 발생하며, 관리가 필요합니다.
배뇨 및 배변 장애는 골반 부위의 신경 손상으로 인해 나타날 수 있습니다. 이를 예방하기 위해서는 수술 전 정밀 진단이 중요합니다.
질 위축과 경화는 여성 환자에게 주로 발생하며, 호르몬 치료나 수분 보충제로 완화할 수 있습니다. 정기적인 검진과 적절한 치료가 필요합니다.
합병증 종류


| 합병증 | 발생 가능성 |
| 출혈 | 과다출혈, 응급 처치 필요 |
| 장폐색 | 장기능 중단, 수술 후 흔함 |
| 혈관 손상 | 혈류 차단으로 심각한 문제 유발 |
| 요관 손상 | 소변 흐름 문제, 추가 수술 필요 |
| 직장 파열 | 대변 누출 위험, 응급 처치 필요 |
| 폐렴 | 장기 입원 환자에서 발생 가능 |
| 폐색전증 | 혈전으로 인한 생명 위협, 빠른 대처 필요 |
| 회음부위 탈장 | 수술 부위 약화로 발생 |
| 누공형성 | 비정상적 통로 형성, 체액 누출 |
| 섬망 | 고령 환자에서 정신 혼란 발생 |
| 울혈성 심부전 | 심장 기능 저하로 합병증 발생 |
합병증은 수술 후 주의 깊은 관리가 필요한 중요한 문제입니다. 출혈, 장폐색, 혈관 손상 등은 생명을 위협할 수 있으므로 즉각적인 처치가 필요합니다.
특히 고령 환자에서 섬망과 울혈성 심부전이 흔히 발생합니다. 적절한 마취와 수술 후 관리를 통해 위험을 줄이는 것이 중요합니다.
폐색전증과 같은 문제는 드물지만 치명적일 수 있으므로, 예방 조치를 철저히 해야 합니다. 수술 후 조기 활동과 항응고 치료가 도움이 될 수 있습니다.
댓글